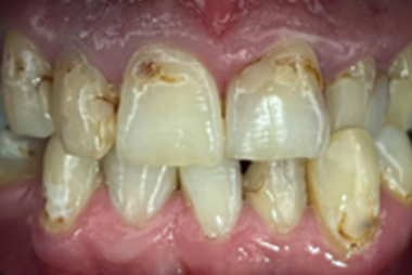
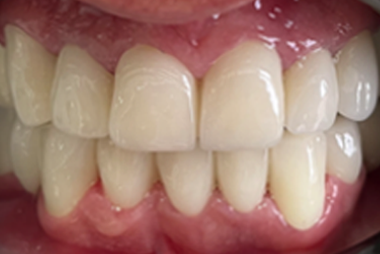
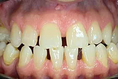
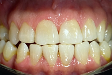
It is the process of giving a natural and beautiful appearance to the teeth and gums, which have deteriorated aesthetically, by taking into account the expectations of the patients. For this, zirconium veneers, aesthetic composite fillings, porcelain laminates, empress veneers or E-max veneers are used.
Zirconium Crowns
Zirconium tooth is an aesthetic tooth crown material that is compatible with the gums and has high light transmittance. After the teeth are reduced enough, their size is taken and their three-dimensional infrastructure is scanned in a computer environment. After rehearsing for the infrastructure, the porcelains prepared in the laboratory are made suitable for attaching to the patient’s mouth.
Another advantage of the zirconium crown is that it is compatible with the gums and is anti-allergic. It is lighter than metal supported porcelain.
Aesthetic Composite Filling
Aesthetic filling is the process of obtaining a more natural and aesthetic smile by applying composite (white) filling to the teeth. The biggest advantage is that it can be applied in suitable conditions without any erosion on the teeth. It is frequently used to cover small gaps between teeth, to eliminate the size difference, to correct minimal crowding and to treat tooth fractures.
Porcelain Lamina
Porcelain laminates (leaf porcelains) is a method that is made by thinning only the front faces of 0.3-0.7 mm without abrading all surfaces of the teeth and where the sound tooth tissue is minimally lost. It is the process of adhering porcelain dental laminae to this thinned area. In some cases, it is applied without any abrasion. The only disadvantage of porcelain laminates is that they are not suitable for every mouth structure and closing shape.







