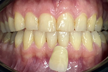
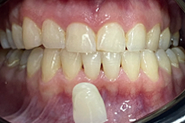
Bleaching (tooth whitening) is the process of lightening the color of the teeth by applying an active substance in gel consistency to the surface of the teeth. There are basically three types of bleaching processes:
-
Office / Clinic type whitening
-
Home whitening
-
Internal (internal) Whitening (Single tooth)
WHICH SITUATIONS ARE WHEN BLINKING?
In lifelong physiological coloring
Discoloration after amalgam filling
In the discoloration caused by the use of antibiotics in infancy
Discoloration caused by the use of antibiotics during pregnancy
Color change from inside the tooth due to root canal treatment
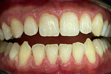
Color of the tooth surface due to the use of coffee, tea, tobacco, red wine and mouthwashes for a long time
It is done in the coloration that occurs due to bleeding inside the tooth with the death of living tissue inside the tooth as a result of trauma.







